Joints are held together by strong bands called ligaments. If these are stretched or torn, the joint can slip out of place — a condition known as a
dislocation. Some dislocations, such as patellar luxation or hip luxation, can occur spontaneously if the joint
hasn’t formed normally, while others are typically caused by significant trauma. The hip is the joint most often dislocated due to injury.
Because dislocations often occur as part of larger traumatic events, they may happen alongside life-threatening injuries such as chest trauma,
head injury, or internal bleeding. Addressing these critical conditions always takes priority before orthopedic treatment.

Dislocations are often visibly obvious, presenting as a dangling limb, visible deformity, or intense pain. However, some dislocations and
ligament injuries present more subtly, with only lameness, reluctance to bear weight, or a sudden limp. In some cases,
spontaneous dislocations from abnormal joint development may be discovered incidentally on X-rays even if the animal shows little or no discomfort.

When a dislocation or ligament injury is suspected, a thorough physical examination is the first step. This is especially critical in animals that
have suffered major trauma, since orthopedic issues often occur alongside more serious internal injuries.
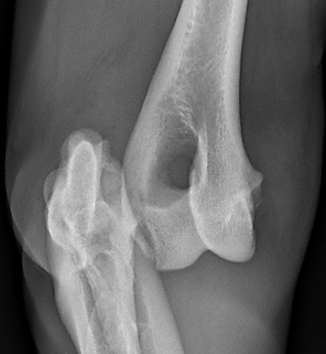
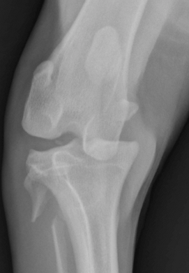
Once the patient is stable, X-rays are essential. While most dislocations are easy to see on radiographs, isolated ligament injuries may be missed.
In these cases, stress radiographs — taken while applying a controlled force to the joint — are often necessary to demonstrate instability.
Comparing images with the opposite, uninjured limb helps identify abnormalities and plan treatment. For more complex injuries, CT scans can provide
detailed 3D views to guide surgical planning.
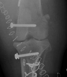
Treatment options for dislocations and ligament injuries range widely, depending on severity, location, and underlying causes. They include:

The outlook for recovery from dislocations and ligament injuries varies widely based on the joint involved, severity,
and treatment approach. Some dislocations have a good prognosis without surgery, while others may be too severe to save the limb.
Surgical technique, proper implant selection, and diligent post-operative care all play major roles in achieving the best possible outcome.
At Animal Orthopaedic Clinic of Florida, every patient benefits from unmatched expertise. Our head clinician is an internationally recognized leader and researcher in veterinary orthopaedic surgery. Using evidence-based, individualized care, we are dedicated to giving your dog the best chance at long-term, pain-free mobility.